
Ερώτηση: Τα μόνιμα δόντια του παιδιού μου άρχισαν να βγαίνουν, αλλά τα παιδικά του δόντια δεν έχουν πέσει. Τώρα έχει δύο σειρές δοντιών στο κάτω μέρος. Τι μπορεί να γίνει γι 'αυτό; Είναι σοβαρό ή μπορώ να περιμένω μέχρι την επόμενη οδοντιατρική επίσκεψη που είναι κάποιους μήνες μετά;
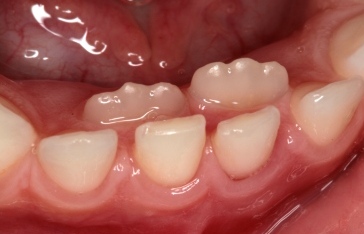
Απάντηση: Αυτό είναι ένα πολύ σύνηθες φαινόμενο. Κανονικά, ένα μόνιμο δόντι ανατέλλει (βγαίνει) ακριβώς κάτω από το ρίζα του νεογιλού δοντιού προκαλώντας την απορρόφηση της ρίζας του και προσδίδοντάς του κινητικότητα.
Αλλά αν το μόνιμο δόντι ανατείλει κάπου αλλού - συνήθως πίσω από το νεογιλό δόντι- τόσο μόνιμο όσο και το νεογιλό μπορεί να βρίσκονται στην ίδια στιγμή το ένα πίσω από το άλλο.
Αυτό συνήθως φαίνεται ανησυχητικό, αλλά είναι πολύ κοινό και σπάνια γίνεται ένα πρόβλημα.
Αν το νεογιλό δόντι κινείται ή είναι χαλαρό και τα μόνιμα δόντια έρχονται, περιμένουμε και βλέπουμε αν τα παιδικά δόντια θα πέσουν.
Αν το νεογιλό δεν κουνιέται καθόλου και το μόνιμο έχει ανατείλει στο ίδιο ύψος, τότε μάλλον ο οδοντίατρος θα προχωρήσει σε εξαγωγή του νεογιλού δοντιού.
Δεν υπάρχει κανένας λόγος ανησυχίας, αλλά η ενημέρωση και η συμβουλή από τον ειδικό είναι προτιμότερη. Γι’ αυτό καλύτερα να κλείσετε ένα ραντεβού νωρίτερα παρά αργότερα.